Tomography of the sinuses
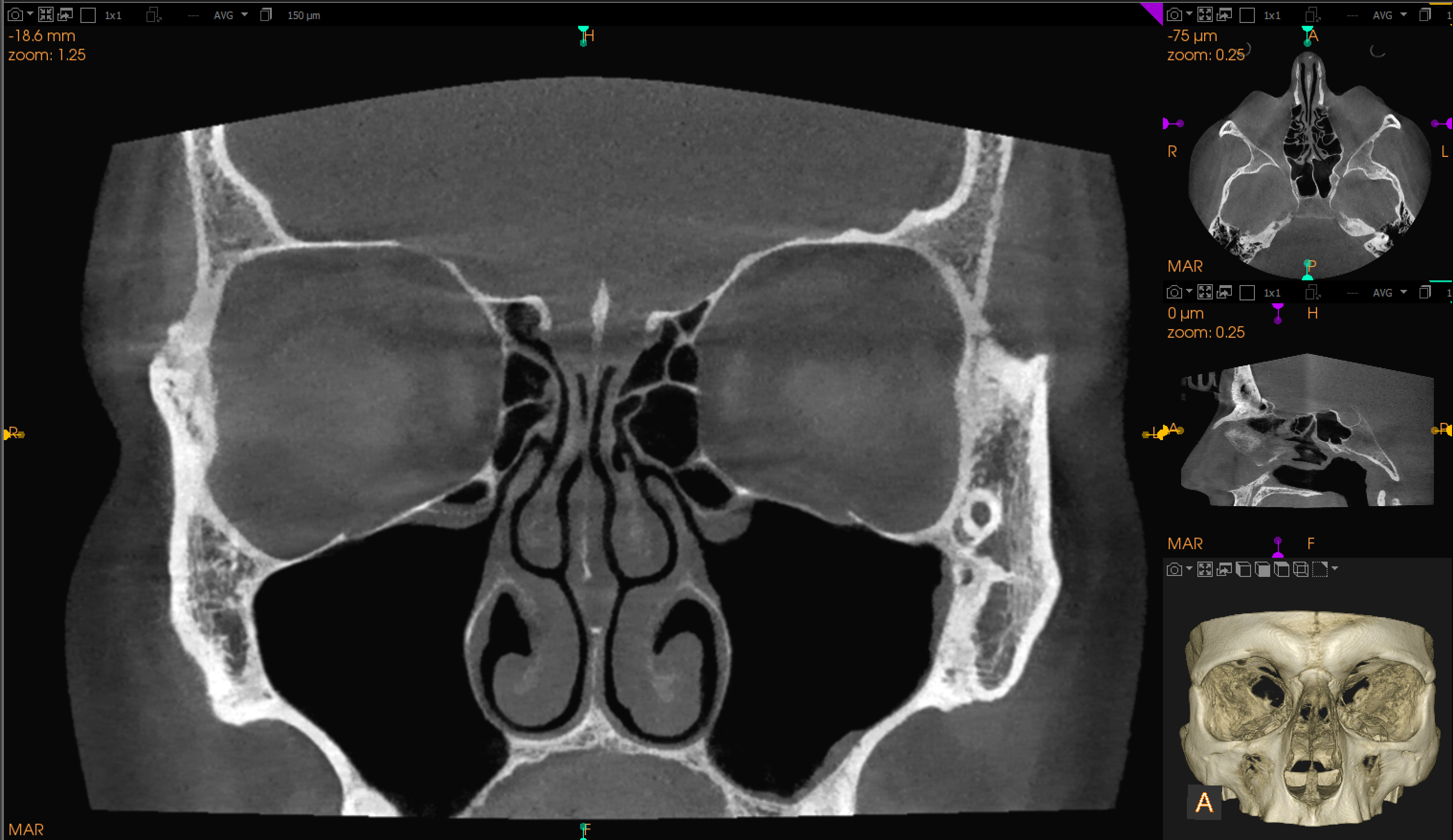
CBCT (Cone Beam Computed Tomography) of the sinuses is a specialized X-ray imaging procedure that provides detailed 3D images of the sinus anatomy and any existing pathologies. The sinuses are air-filled spaces located within the bones of the skull and face, which include the frontal, maxillary, ethmoid, and sphenoid sinuses.
Using a cone-shaped X-ray beam, this technology provides detailed images of the bone structure, tooth positioning, and surrounding anatomy of these areas, allowing for enhanced diagnosis, treatment planning, and evaluation in dental and maxillofacial applications. This comprehensive 3D view offers detailed insights that surpass traditional 2D radiographs.
Use cases:
- Dental Implant Planning: Helps determine the quality, quantity, and topography of the bone, ensuring optimal implant placement.
- Orthodontic Assessment: Provides a clear view of teeth positioning, especially for impacted or supernumerary teeth, and understanding jaw relationships.
- Endodontic Evaluation: Useful for complex root canal cases, showcasing root fractures, unusual canal anatomy, or periapical pathologies.
- Pathological Evaluation: Detecting and analyzing cysts, tumors, and other anomalies in the jawbones.
- Surgical Planning: For surgeries like wisdom tooth extractions, particularly if the tooth is close to vital structures like nerves.
- Bone Grafting and Sinus Evaluations: Determining areas of bone loss and planning for grafts or sinus lift procedures.
Advantages:
- High-Resolution 3D Images: Detailed visualization of the dental and skeletal structures, which can be rotated and analyzed from different angles.
- Accurate Measurements: Facilitates precision in treatment planning, especially for surgical or orthodontic procedures.
- Lower Radiation Exposure: Compared to traditional CT scans, CBCT delivers a lower dose of radiation.
- Efficiency: The scan is quick when compared to older methods and technologies.
FAQ
CBCT (Cone Beam Computed Tomography) of the sinuses should be performed when detailed 3D visualization of the sinus cavities is crucial for diagnosis, treatment planning, or evaluation. Here are scenarios when a CBCT scan of the sinuses might be recommended:
- Chronic or Recurrent Sinusitis: In cases where patients have persistent or recurring sinus infections and standard treatments or medications prove ineffective. CBCT can help identify anatomical abnormalities or obstructions causing these chronic issues.
- Pre-surgical Planning: Prior to surgical interventions, such as Functional Endoscopic Sinus Surgery (FESS), to obtain detailed information about the anatomy and potential obstructions.
- Dental Implant Considerations: Before dental implant placements in the upper jaw (maxilla) to ensure there's enough bone and to prevent inadvertent penetration into the maxillary sinuses.
- Sinus Tumors or Growths: To evaluate the presence, size, location, and extent of benign or malignant growths or masses within the sinus cavities.
- Traumatic Injuries: Following facial trauma to assess any fractures, injuries, or obstructions in the sinus regions.
- Evaluation of Anatomical Variations: In cases where anomalies such as a deviated septum, concha bullosa, Haller cells, or other structural variations might be causing sinus issues or need to be accounted for in surgical planning.
- Bone Grafting and Sinus Lift Procedures: Before procedures intended to increase the bone volume in the upper jaw, especially when it's close to the sinuses.
- Unexplained Facial Pain: When patients present with facial pain or pressure not attributed to other known causes, a CBCT scan can help in diagnosing potential sinus-related issues.
- Post-surgical Evaluation: After surgical interventions involving the sinus region to assess the outcome, ensure proper healing, and identify potential complications.
The procedure is non-invasive and painless:
- The patient is asked to remove anything that may interfere with the imaging, including metal objects, such as jewelry, eyeglasses or hearing aids.
- The patient either sits or stands in the CBCT machine.
- The patient must remain still during the scan to ensure image clarity. As the scanner rotates around the patient's head, it captures multiple images from various angles, which are then reconstructed into a 3D model.
No, there isn't an age-specific limit. Computed Tomography can be beneficial for both children and adults, depending on the medical concern.
Always consult with your doctor for specific details and any further queries related to Tomography of the sinuses or any other medical procedure.
Where to find us
Mon - Fri 9:00 - 20:00 / Sat 9:00 - 14:00
Price
290 zł
Duration of the examination
up to 30 seconds
Referral
Required
Radiation Dose

